診療内容
外来小手術・処置
全て日帰りで行います。
*以下所見の写真が出てきます。苦手な方は閲覧をお控え下さい。
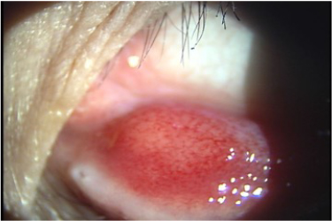
霰粒腫切除
霰粒腫切除-点眼や軟膏で全く改善しない場合、かなり大きくなってきた場合は皮膚切開をし、中身を特殊な機器で掻出し、取り出します。

麦粒腫切開
まぶたの内側の切開は基本点眼麻酔で行います。圧迫止血後、眼帯はしません。

マイボム腺梗塞摘出
マイボム腺梗塞摘出-セッシで出せそうなときは出します。詰まって押しても出ないときは切開して出します。

角膜異物除去
点眼麻酔で行います。取るときに痛みはありません。

結膜下結石除去
点眼麻酔にて行います。特殊なセッシで取ります。

睫毛抜去
特殊なセッシで目に当たっている部分の睫毛を抜きます。

結膜異物除去
眼の中に入ったゴミを取り除きます。上まぶたの裏等ご自身で取りにくい部分も顕微鏡下で探して取り出します。

結膜嚢胞切除
白目にできた水疱を取り除きます。再発しやすいですが、再発しにくいように袋も取り除きます。

涙道洗浄
眼から鼻に抜ける涙の通り道の洗浄と共に詰まっているかどうかの確認も行います。

洗眼
酸やアルカリなどが眼に入った時にまぶたの裏まで丁寧に洗浄します。

皮膚縫合
まぶたが切れたとき、複雑な傷口でない場合は洗浄と縫合を行います。縫合しなくてもきれいに治りそうなときは軟膏で対応することもあります。

涙点プラグ
ドライアイがひどい方は、涙の目からの出口を塞ぐことにより 自身の涙がたまりやすくなったり、点眼の保湿作用が強くなります。永久に入れておけますが、少しゴロゴロしたり、自然脱落したりすることもあり、最近は下記のキープティアを希望される方がほとんどです。

キープティア
ドライアイの方で、点眼治療でも改善しない方、ドライアイによる傷がひどいかたは涙の通り道にコラーゲンを充満させることにより、自身の涙が目に留まりやすくなったり、ヒアルロン酸の点眼後保湿効果がアップします。点眼の、麻酔で行い5分程度の処置中に痛みはありません。処置後眼帯もしません。効果は3ヶ月から半年ほどです。

その他
稗粒腫切除等各種外来での小手術、処置に対応させていただきます。

